Neuer Blick ins Gehirn in Ultra-HD

27.05.2021 -

Wissenschaftler der Otto-von-Guericke-Universität Magdeburg sammelten über 10 Jahre mittels Magnetresonanztomographie (MRT) Bilddaten von Gehirnstrukturen eines einzelnen Probanden mit der bisher höchsten räumlichen Auflösung, die je an einem lebenden Probanden gemessen wurde. Einen ersten 2017 publizierten ultra-hochaufgelösten Datensatz erweitern die Forschenden mit einer erneuten Veröffentlichung im renommierten Fachjournal Nature Scientific Data und stellen damit diese einzigartigen Datensätze weltweit Wissenschaftlerinnen und Wissenschaftlern sowie der allgemeinen Öffentlichkeit für Forschungszwecke und darüber hinaus frei zur Verfügung.

Während der 2017 veröffentlichte Magnetresonanztomographie-Datensatz das menschliche Gehirn 64-Mal höher aufgelöst als die neurowissenschaftliche Standardauflösung dargestellt hat und damit weiterhin der weltweit höchstaufgelöste Gehirnscan eines lebenden Menschen ist, sticht der neue Datensatz dadurch hervor, dass er 202 Gehirnscans des gleichen Probanden aus 66 verschiedenen Sitzungen über einen Zeitraum von über zehn Jahren in sich vereint, welche mit dem 7-Tesla-MRT des Leibniz-Instituts für Neurobiologie in Magdeburg aufgenommen wurden.

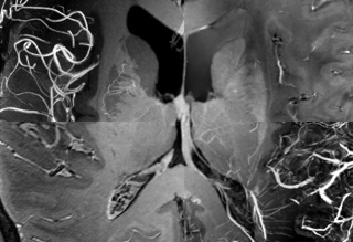
Die Überlagerung von mehreren ultra-hochaufgelösten MRT-Kontrasten zeigt die Anatomie und Gefäßversorgung des menschlichen Hirns (c) Falk Lüsebrink / Universität Magdeburg.Die Überlagerung von mehreren ultra-hochaufgelösten MRT-Kontrasten zeigt die Anatomie und Gefäßversorgung des menschlichen Hirns. (Bild: Falk Lüsebrink / Universität Magdeburg)

So wurde das menschliche Gehirn noch nie gesehen

Durch die in Magdeburg vorhandenen und die teilweise hier entwickelten Spitzentechnologien sowie das wissenschaftliche Know-how ist die räumliche Auflösung und Datenqualität den meisten Studien weit überlegen“, schätzt der Medizintechniker Dr. Falk Lüsebrink, der das Projekt betreute, ein. „Aufgrund der ultra-hohen Auflösung und der hohen Qualität konnten wir Strukturen sehen, die bisher noch nie in vivo identifiziert wurden. Wir haben über 240 GB Daten für diesen Datensatz aufbereitet und zusammengeführt.“ Dr. Lüsebrink erklärt, dass „neben der Kollektion von Daten des gleichen Probanden über einen Zeitraum von über zehn Jahren der Datensatz auch unterschiedliche Kontraste beinhaltet. Diese bilden nicht nur die Anatomie auf verschiedene Arten ab, sondern auch die Blutversorgung, Mikrostruktur und Funktion. Dabei verfügen die unterschiedlichen Kontraste teilweise über die höchste räumliche Auflösung ihrer Art und sind damit weltweit Spitzenklasse.“

Das Forscherteam erwartet, dass dieser neue einzigartige Datensatz in vielen multimodalen Analysen zum Einsatz kommen wird, z. B. zur Zusammenführung von Daten für Visualisierung und Lehre, zur Erstellung von Hirnatlanten oder zur Untersuchung der Großhirnrinde. Da die Daten über zehn Jahre gesammelt wurden, können sie beispielsweise auch herangezogen werden, um Änderungen im Volumen von Hirnregionen aufgrund des Alterns zu analysieren. Zudem wird die Entwicklung von Algorithmen zur Rauschreduktion ermöglicht, um die Schärfe und damit die Qualität der Bilder zu erhöhen, da diese mit unterschiedlichen Signalstärken aufgenommen wurden.

Wissenschaftler:innen weltweit können die Daten nutzen

„Unsere 2017 veröffentlichten Daten wurden mehr als 60.000-Mal heruntergeladen und regten die Forschung in den verschiedensten Disziplinen an und ziert sogar die Wand des MRT Museums in Illinois überlebensgroß, in welchem das erste MRT für den Menschen von Nobelpreisträger Paul Lauterbur ausgestellt ist“, unterstreicht Dr. Lüsebrink. „Wir hoffen natürlich, dass der neue Datensatz einen ähnlichen Einfluss haben wird. Auch wenn die Kuratierung eines solch umfangreichen Datensatzes mit mehr als 35.000 Dateien und einer Größe von etwa 240 Gigabyte sehr zeitaufwändig ist, lohnt sich der Aufwand, denn er hilft nicht nur bei der Strukturierung der Daten, sondern natürlich auch bei der Wiederverwendbarkeit durch andere Forscher und Forscherinnen und trägt somit zur Ressourcenschonung und Nachhaltigkeit der Forschungsergebnisse bei.“ So könnten Wissenschaftlerinnen und Wissenschaftler weltweit die Daten auch ohne Zugang zu einem Magnetresonanz-Labor ohne Einschränkungen nutzen und ihr Forschungsgebiet vorantreiben. Die Relevanz von frei verfügbaren Daten sei durch die aktuelle Pandemie und den damit verbundenen Lockdowns unter anderem auch von MR-Laboren nochmals unterstrichen worden.

 

Bilder zum Download:

Bild 1 // Urheber: Falk Lüsebrink / Universität Magdeburg // Bildunterschrift: Die Überlagerung von mehreren ultra-hochaufgelösten MRT-Kontrasten zeigt die Anatomie und Gefäßversorgung des menschlichen Hirns.


Autor:in Ines Perl

Letzte Änderung: 30.11.2022 -
Ansprechpartner: Katharina Vorwerk